Smile Gallery






This woman’s teeth were worn from grinding. Dr. Mobasseri and Dr. De Rosier restored her beautiful smile with porcelain veneers.

Before we replaced her failing, chipped porcelain veneers with natural-looking ones, this patient was embarrassed to smile. Now – she smiles with confidence!

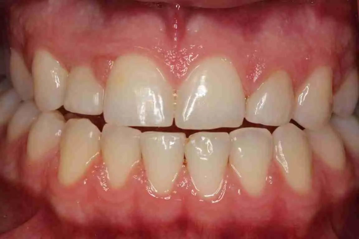
Beautiful porcelain veneers brighten this patient’s smile.

No more black lines at the gum line! Dr. Mobasseri and Dr. De Rosier replaced the metal-backed crowns with more natural looking, all porcelain crowns.

We closed up the space between the teeth in just one visit.

Worn teeth and an old crown. After orthodontics, this patient whitened his teeth, and we restored his smile.

Chipped teeth repaired – in just one visit.

Dr. Mobasseri and Dr. De Rosier replaced silver fillings with natural looking fillings in one visit.

Teeth worn from grinding repaired with simple reshaping and cosmetic bonding–without anesthesia–in one visit.

This patient was born without an incisor on the right and a misshapen incisor on the left. His smile was restored with a dental implant and a porcelain veneer.

